Reinstate Comprehensive NHS Dental Services for All


Reinstate Comprehensive NHS Dental Services for All
The Issue
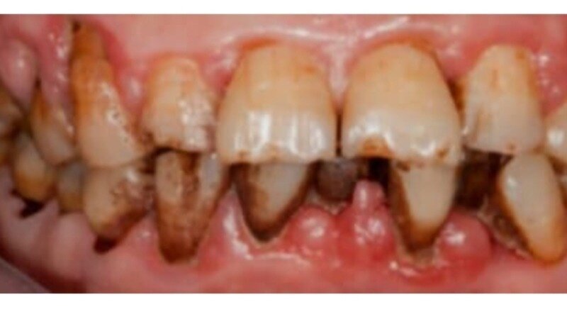
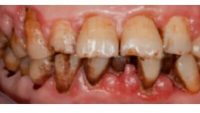
I write this petition in desperate pain and frustration, unable to afford private dental care. My lower gums and teeth throb with severe pain. This echoes the broader issue of no and severe shortage of public dental healthcare on the NHS. No dentist within my reach is accepting NHS patients for treatment. Yet the moment I mention seeking care as a private patient, I am welcomed immediately.
This story is not unique to me. In England, less than 48% of adults accessed NHS dental care from 2014 to 2016, according to a paper published by the British Dental Journal in 2017. This is a dire public health issue when we consider that untreated dental problems can contribute to serious health issues such for those with diabetes, heart disease, mental health, causes of horrendous pain, resulting in poor ability to eat healthily, and increasing risks of life threatening cases such as in the case of severe untreated dental infections and dangerous abcesses.
We are not just advocating for ourselves but for our children too. As per NHS data, from 2015 to 2018, 14% of children never had a dental examination. This sets a troubling precedent for their future oral health. The current provision of dental care on the NHS falls critically short of requirements leaving innumerable individuals to endure severe discomfort or fork out for private treatment.
We plead with decision-makers to reinstate comprehensive dental services to the NHS, thereby securing equitable access to oral healthcare for all. Sign this petition to join our fight for equal access to dental care.
177
The Issue
I write this petition in desperate pain and frustration, unable to afford private dental care. My lower gums and teeth throb with severe pain. This echoes the broader issue of no and severe shortage of public dental healthcare on the NHS. No dentist within my reach is accepting NHS patients for treatment. Yet the moment I mention seeking care as a private patient, I am welcomed immediately.
This story is not unique to me. In England, less than 48% of adults accessed NHS dental care from 2014 to 2016, according to a paper published by the British Dental Journal in 2017. This is a dire public health issue when we consider that untreated dental problems can contribute to serious health issues such for those with diabetes, heart disease, mental health, causes of horrendous pain, resulting in poor ability to eat healthily, and increasing risks of life threatening cases such as in the case of severe untreated dental infections and dangerous abcesses.
We are not just advocating for ourselves but for our children too. As per NHS data, from 2015 to 2018, 14% of children never had a dental examination. This sets a troubling precedent for their future oral health. The current provision of dental care on the NHS falls critically short of requirements leaving innumerable individuals to endure severe discomfort or fork out for private treatment.
We plead with decision-makers to reinstate comprehensive dental services to the NHS, thereby securing equitable access to oral healthcare for all. Sign this petition to join our fight for equal access to dental care.
177
Petition Updates
Share this petition
Petition created on 21 August 2024