Fluoride removal in Durham, NC

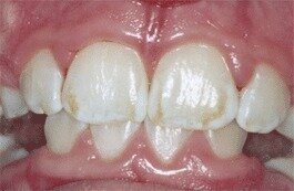
The Issue

Fluoride has been scientifically proven to cause fluorosis, is detrimental to a child's cognitive development, and causes cumulative bone density problems.

Please visit http://www.durhamagainstfluoride.com for more information.

This petition had 89 supporters

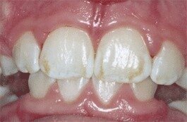
The Issue

Fluoride has been scientifically proven to cause fluorosis, is detrimental to a child's cognitive development, and causes cumulative bone density problems.

Please visit http://www.durhamagainstfluoride.com for more information.

The Decision Makers

Tom Harden
Tom Harden
Superintendent Water Supply and Treatment
City of Durham
City of Durham
Durham City Council
Steve Schewel
Steve Schewel
At Large Council Member
Don Greeley
Don Greeley
Director
Petition updates
Share this petition
Petition created on April 5, 2012