Mercury Fillings are toxic to the brain and nervous system!!!


Mercury Fillings are toxic to the brain and nervous system!!!
The Issue
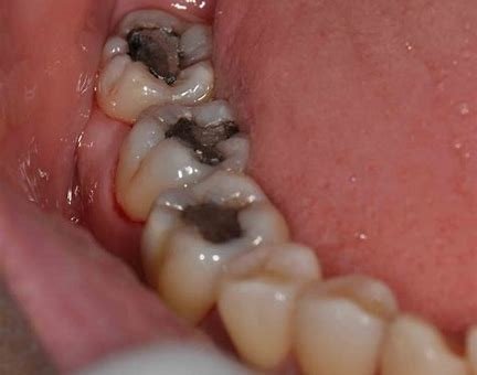
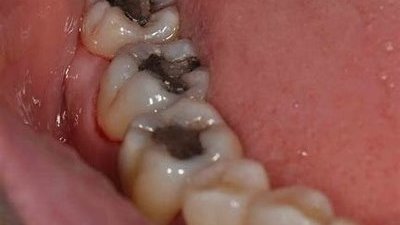
Open your mouth, look in the mirror, do you have these toxic MERCURY fillings in your mouth? Chances are you do, Do you suffer from Depression/Anxiety/ Brain Fog/loss of memory/Brain cancer? or any other hosts of illnesses, If so, It may be the fillings in your mouth. Mercury is known to cause cognitive issues, learning problems, Mercury is toxic to humans and animals and the environment. Science tells us Mercury damages the central nervous system and the brain!! Many people are sick and don't understand why, Their tired, Depressed, sometimes feel like their going insane from Mercury fillings. It's time to hold the A.D.A accoutable for poisoning people and getting away with it.. it's time for them to pay for the removal of these fillings and the harm they cause you. Please help in the fight for your health!!!We need more biological Dentists who can perform the removal of these fillings, We need strong ethical attorneys not afraid to stand up for the truth, We need the Supreme court to stand up for the people they serve in the way they were appointed. We need funding to you without insurance, We are raising awareness in the medical community to check for possible heavy metal poisoning and mercury in the blood FIRST before any diagnosis are made. WE know the medical industry complex here in the U.S.A., in some areas, has lost its way, It's time for balance, Fairness, and healthy people. MOST OF ALL WE NEED TO YOU TO SIGN.

25
The Issue
Open your mouth, look in the mirror, do you have these toxic MERCURY fillings in your mouth? Chances are you do, Do you suffer from Depression/Anxiety/ Brain Fog/loss of memory/Brain cancer? or any other hosts of illnesses, If so, It may be the fillings in your mouth. Mercury is known to cause cognitive issues, learning problems, Mercury is toxic to humans and animals and the environment. Science tells us Mercury damages the central nervous system and the brain!! Many people are sick and don't understand why, Their tired, Depressed, sometimes feel like their going insane from Mercury fillings. It's time to hold the A.D.A accoutable for poisoning people and getting away with it.. it's time for them to pay for the removal of these fillings and the harm they cause you. Please help in the fight for your health!!!We need more biological Dentists who can perform the removal of these fillings, We need strong ethical attorneys not afraid to stand up for the truth, We need the Supreme court to stand up for the people they serve in the way they were appointed. We need funding to you without insurance, We are raising awareness in the medical community to check for possible heavy metal poisoning and mercury in the blood FIRST before any diagnosis are made. WE know the medical industry complex here in the U.S.A., in some areas, has lost its way, It's time for balance, Fairness, and healthy people. MOST OF ALL WE NEED TO YOU TO SIGN.

25
The Decision Makers
Petition Updates
Share this petition
Petition created on February 22, 2020