

Medical To Pay For Dental Procedures When Born With A Medical/Dental Birth Disorder


Medical To Pay For Dental Procedures When Born With A Medical/Dental Birth Disorder
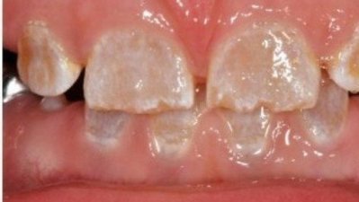
The Issue
I am gaining traction to have the Ensuring Lasting Smiles Act (statute H.R.1379/S.560) passed. This will allow medical insurance to pay for certain rare dental conditions such as Dentinogenesis imperfecta and Amelogenesis Imperfecta. These congenital conditions have long lasting effects on an individual's ability to function and their self-perception. My family has suffered from Dentinogenesis Imperfecta for at least five generations. I was thankful to not be born with this condition, however, I have seen the effects it has had on my family....financially, physically and emotionally. I have witnessed firsthand, the pain and destruction this disease has caused and the complete loss of quality of life, at times.
I have been working in the dental industry for 25 years and am proud to advocate for those who suffer from these conditions. I have researched the CDT 10 codes and have found appropriate medical codes that are already in place to recognize Dentinogenesis Imperfecta and it's treatment. I am also very happy to say more and more states are recognizing Dentinogenesis as a medical condition, therefore, getting more medical insurance benefits towards dental treatment. I ask for your help so Florida can also allow use of medical insurance benefits towards this medical and dental condition.
Thank you again for taking the time to read this and for any/all your help!!
Sincerely,
Heather Rose

979
The Issue
I am gaining traction to have the Ensuring Lasting Smiles Act (statute H.R.1379/S.560) passed. This will allow medical insurance to pay for certain rare dental conditions such as Dentinogenesis imperfecta and Amelogenesis Imperfecta. These congenital conditions have long lasting effects on an individual's ability to function and their self-perception. My family has suffered from Dentinogenesis Imperfecta for at least five generations. I was thankful to not be born with this condition, however, I have seen the effects it has had on my family....financially, physically and emotionally. I have witnessed firsthand, the pain and destruction this disease has caused and the complete loss of quality of life, at times.
I have been working in the dental industry for 25 years and am proud to advocate for those who suffer from these conditions. I have researched the CDT 10 codes and have found appropriate medical codes that are already in place to recognize Dentinogenesis Imperfecta and it's treatment. I am also very happy to say more and more states are recognizing Dentinogenesis as a medical condition, therefore, getting more medical insurance benefits towards dental treatment. I ask for your help so Florida can also allow use of medical insurance benefits towards this medical and dental condition.
Thank you again for taking the time to read this and for any/all your help!!
Sincerely,
Heather Rose

979
The Decision Makers
Supporter Voices
Petition Updates
Share this petition
Petition created on August 20, 2020