Pfizer Please Fix Our Teeth So We Can Smile

Pfizer Please Fix Our Teeth So We Can Smile

The Issue

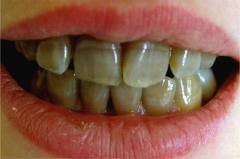
Anyone who's Teeth have been damaged, stained from the use of Pfizers drug Tetracycline. If you have a Family member, Friend, Co-Worker, Son, Daughter,Mom, Dad, Cousin, Uncle, Aunt, Grandmother, GrandFather,Niece, Nephew, Brother-In-Law, Sister-In-Law, or yourself Please sign this Petition to ask Pfizer to start a Fund called Stained Teeth By Tetracycline for Victims to apply for and have our Teeth fixed.

Please God let this Petition get flooded with signatures, Let it go to the top.
For those of you who don't have this problem, You have no idea how terrible it is to grow up with Gray Teeth, All the Bullying in School, and in the General Public.
Even to this day, it is awful not to be able to smile in public worrying about what people are saying.

It has caused people to not apply for certain jobs, It has prevented women and men from becoming Models, ETC.
Please be kind and sign.....So we can do this :) instead of this :(

This petition had 121 supporters

The Issue

Anyone who's Teeth have been damaged, stained from the use of Pfizers drug Tetracycline. If you have a Family member, Friend, Co-Worker, Son, Daughter,Mom, Dad, Cousin, Uncle, Aunt, Grandmother, GrandFather,Niece, Nephew, Brother-In-Law, Sister-In-Law, or yourself Please sign this Petition to ask Pfizer to start a Fund called Stained Teeth By Tetracycline for Victims to apply for and have our Teeth fixed.

Please God let this Petition get flooded with signatures, Let it go to the top.
For those of you who don't have this problem, You have no idea how terrible it is to grow up with Gray Teeth, All the Bullying in School, and in the General Public.
Even to this day, it is awful not to be able to smile in public worrying about what people are saying.

It has caused people to not apply for certain jobs, It has prevented women and men from becoming Models, ETC.
Please be kind and sign.....So we can do this :) instead of this :(

The Decision Makers

Matthew Lepore Pfizer
Matthew Lepore Pfizer
Pfizer

Petition Updates

Share this petition

Petition created on June 23, 2012