

Make NATURAL OPTIONS a RIGHT for parents fighting pediatric cancer!


Make NATURAL OPTIONS a RIGHT for parents fighting pediatric cancer!
The Issue
My name is Kimberly Scott. My daughter fought Brain Cancer (Pilocytic Astrocytoma Grade 2) for 5 years. She had a surgical resection but 10% of the tumor was inoperable and like many other children, she faced chemo/radiation as her only treatment option. After ONE infusion, she went into full body toxicity and suffered a bowel intussusception at two years old. The chemo almost killed her faster than her cancer could have. She was deemed allergic to chemotherapy and we were left with no options other than to watch as she slowly died. I began researching and quickly got my daughter certified by two doctors to become a medical marijuana patient. She began using Full Extract Cannabis oil every day. Every scan after she began the oil began to show shrinkage of her tumor. It took two years of taking this oil every day but she achieved clear scans. She suffered NO side effects from this treatment. She didn't lose her hair. She could eat and maintain a healthy appetite the entire time. She wasn't vomiting. She slept wonderfully and I can prove every bit of this through documented blood work and MRI imaging. My daughter did a study drug trial alongside her oil. There were 21 kids in that particular study group. My child was the only one who came off with CLEAR SCANS and the ONLY one who did not have to go back on to some form of pharmaceutical medication due to tumor regrowth. My daughter's tumor has been gone for 23 months and those who were not taking the natural medication saw their tumor growth begin again after stopping the study drug. One small maintenance dose of this oil has kept her cancer from returning for almost 2 years now.
After hearing of my daughter's story, a few other mothers of brain tumor victims chose to get their children approved as MMJ patients and try this less harmful treatment. Every one of them is cancer free today. There has been ZERO reoccurrence in these children's cancers and the parents have meticulously documented every step of their journeys. My daughter alone has over 100k people from countries all over this planet that watched it work for her.
There are many children who aren't so lucky. There are many medical teams as well as states in our country that do not allow parents the option to choose natural treatment as their first line of defense. Not only are they denied the RIGHT to choose their own child's treatment but some have had their children TAKEN from them, their families have been ripped apart on top of facing the most terrifying situation a family can face. They have been criminally prosecuted and forced into toxic treatments that cause the children MASSIVE amounts of suffering that the parent must subject them to and still watch them die in the end.
Doctors don't want to acknowledge it. Nobody wants to do a study. So we did the study FOR everyone. WE ARE THE STUDY. And there are MANY of us. Our children are ALL alive, well & thriving. My daughter's deficits from her surgeries and the damage that the tumor did to her brain have even reversed themselves when we were told they were permanent. She regained all of the strength in her left side that the neurologist told us would never come back. The only scar she has been left with is the one from the infusion of pharmaceutical chemotherapy that she had to take. ONE TIME. She has lived with Chemo Induced Peripheral Neuropathy since the day they ran that poison through her veins.
No HOSPITAL, no ONCOLOGY team, NO laws should EVER be able to prevent a parent from applying natural methods to a child with cancer before subjecting them to such a harsh and radical treatment. Our children being alive and healthy should be enough proof to change the standard of pediatric cancer treatment all over this world. I would like my daughter's journey, as well as the journeys of these several other survivors to permanently grant parents the RIGHT to choose natural options FIRST and NEVER be FORCED into toxic treatments. That should be the VERY LAST option. And NO PARENT should EVER face criminal charges for SAVING their child. What if it were YOUR child and they had NO other options? These "standards" and "laws" need swift and urgent amending. We aren't begging for funding. We aren't begging for anyone to do a study. WE ALREADY WERE THE STUDY. The proof has been shown in several different types of brain cancer in this group of children. We are asking for EVERY cancer patient to have the RIGHT to choose their treatment after several of us successfully proved that it was far safer and FAR MORE effective than traditional chemotherapy. We aren't begging for federally legal cannabis for everyone. We are asking you to MAKE CANNABIS PRODUCTS and other natural herbal treatments FEDERALLY legal for CANCER PATIENTS EVERYWHERE and for you to protect the parent's right to CHOOSE their own treatment plan without being threatened with criminal charges.
After watching my daughter suffer and be slaughtered from the inside out from one chemotherapy infusion, I genuinely feel THAT is the treatment that is criminal. Please help protect our rights as parents and PLEASE give our children fair access to treatments that do NO HARM!
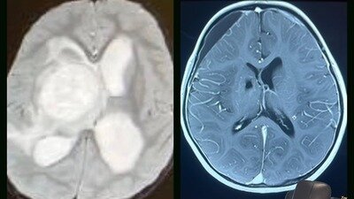
Picture ONE: My daughter's brain imaging at diagnosis on the left and after two years on full extract cannabis oil, her tumor free scan on the right. All blood work and imaging fully medically documented.
Picture TWO: Another pediatric cancer patient fighting ganglioglioma. Her mother refused chemo/radiation and this patient began full extract cannabis oil. The child's scan in 2021 on the left and two years later, almost cancer free.
Picture THREE: Pediatric patient fighting Pilocytic Astrocytoma. After quitting a clinical trial due to side effects, they chose to start full extract cannabis oil and the picture on the left is when he quit the trial drug and the picture on the right is after finishing treatment using only full extract cannabis oil and plant based diet.
10,706
The Issue
My name is Kimberly Scott. My daughter fought Brain Cancer (Pilocytic Astrocytoma Grade 2) for 5 years. She had a surgical resection but 10% of the tumor was inoperable and like many other children, she faced chemo/radiation as her only treatment option. After ONE infusion, she went into full body toxicity and suffered a bowel intussusception at two years old. The chemo almost killed her faster than her cancer could have. She was deemed allergic to chemotherapy and we were left with no options other than to watch as she slowly died. I began researching and quickly got my daughter certified by two doctors to become a medical marijuana patient. She began using Full Extract Cannabis oil every day. Every scan after she began the oil began to show shrinkage of her tumor. It took two years of taking this oil every day but she achieved clear scans. She suffered NO side effects from this treatment. She didn't lose her hair. She could eat and maintain a healthy appetite the entire time. She wasn't vomiting. She slept wonderfully and I can prove every bit of this through documented blood work and MRI imaging. My daughter did a study drug trial alongside her oil. There were 21 kids in that particular study group. My child was the only one who came off with CLEAR SCANS and the ONLY one who did not have to go back on to some form of pharmaceutical medication due to tumor regrowth. My daughter's tumor has been gone for 23 months and those who were not taking the natural medication saw their tumor growth begin again after stopping the study drug. One small maintenance dose of this oil has kept her cancer from returning for almost 2 years now.
After hearing of my daughter's story, a few other mothers of brain tumor victims chose to get their children approved as MMJ patients and try this less harmful treatment. Every one of them is cancer free today. There has been ZERO reoccurrence in these children's cancers and the parents have meticulously documented every step of their journeys. My daughter alone has over 100k people from countries all over this planet that watched it work for her.
There are many children who aren't so lucky. There are many medical teams as well as states in our country that do not allow parents the option to choose natural treatment as their first line of defense. Not only are they denied the RIGHT to choose their own child's treatment but some have had their children TAKEN from them, their families have been ripped apart on top of facing the most terrifying situation a family can face. They have been criminally prosecuted and forced into toxic treatments that cause the children MASSIVE amounts of suffering that the parent must subject them to and still watch them die in the end.
Doctors don't want to acknowledge it. Nobody wants to do a study. So we did the study FOR everyone. WE ARE THE STUDY. And there are MANY of us. Our children are ALL alive, well & thriving. My daughter's deficits from her surgeries and the damage that the tumor did to her brain have even reversed themselves when we were told they were permanent. She regained all of the strength in her left side that the neurologist told us would never come back. The only scar she has been left with is the one from the infusion of pharmaceutical chemotherapy that she had to take. ONE TIME. She has lived with Chemo Induced Peripheral Neuropathy since the day they ran that poison through her veins.
No HOSPITAL, no ONCOLOGY team, NO laws should EVER be able to prevent a parent from applying natural methods to a child with cancer before subjecting them to such a harsh and radical treatment. Our children being alive and healthy should be enough proof to change the standard of pediatric cancer treatment all over this world. I would like my daughter's journey, as well as the journeys of these several other survivors to permanently grant parents the RIGHT to choose natural options FIRST and NEVER be FORCED into toxic treatments. That should be the VERY LAST option. And NO PARENT should EVER face criminal charges for SAVING their child. What if it were YOUR child and they had NO other options? These "standards" and "laws" need swift and urgent amending. We aren't begging for funding. We aren't begging for anyone to do a study. WE ALREADY WERE THE STUDY. The proof has been shown in several different types of brain cancer in this group of children. We are asking for EVERY cancer patient to have the RIGHT to choose their treatment after several of us successfully proved that it was far safer and FAR MORE effective than traditional chemotherapy. We aren't begging for federally legal cannabis for everyone. We are asking you to MAKE CANNABIS PRODUCTS and other natural herbal treatments FEDERALLY legal for CANCER PATIENTS EVERYWHERE and for you to protect the parent's right to CHOOSE their own treatment plan without being threatened with criminal charges.
After watching my daughter suffer and be slaughtered from the inside out from one chemotherapy infusion, I genuinely feel THAT is the treatment that is criminal. Please help protect our rights as parents and PLEASE give our children fair access to treatments that do NO HARM!
Picture ONE: My daughter's brain imaging at diagnosis on the left and after two years on full extract cannabis oil, her tumor free scan on the right. All blood work and imaging fully medically documented.
Picture TWO: Another pediatric cancer patient fighting ganglioglioma. Her mother refused chemo/radiation and this patient began full extract cannabis oil. The child's scan in 2021 on the left and two years later, almost cancer free.
Picture THREE: Pediatric patient fighting Pilocytic Astrocytoma. After quitting a clinical trial due to side effects, they chose to start full extract cannabis oil and the picture on the left is when he quit the trial drug and the picture on the right is after finishing treatment using only full extract cannabis oil and plant based diet.
10,706
Supporter Voices
Petition Updates
Share this petition
Petition created on February 19, 2025