Abandonó de la Sanidad pública a menores enfermos


Abandonó de la Sanidad pública a menores enfermos
El problema
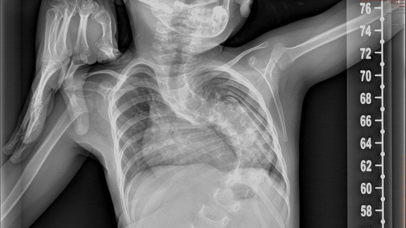
Tengo una hija de 4 aňos que estaba tratándose de una enfermedad llamada escoliosis congénita agresiva ,en el hospital VIRGEN DEL ROCÍO DE SEVILLA y a la espera de una delicada operación de la cual sólo hay un cirujano con su equipo médico en espaňa que está en este hospital mencionado antes y en el cual ya no vamos a tener.Se quedan cerca de 20 niňos y familias desolados y sin ayuda .NECESITAMOS UN CAMBIO EN LA SANIDAD Y QUE NO NOS ABANDONEN.

El problema
Tengo una hija de 4 aňos que estaba tratándose de una enfermedad llamada escoliosis congénita agresiva ,en el hospital VIRGEN DEL ROCÍO DE SEVILLA y a la espera de una delicada operación de la cual sólo hay un cirujano con su equipo médico en espaňa que está en este hospital mencionado antes y en el cual ya no vamos a tener.Se quedan cerca de 20 niňos y familias desolados y sin ayuda .NECESITAMOS UN CAMBIO EN LA SANIDAD Y QUE NO NOS ABANDONEN.

Petición cerrada
Comparte esta petición
Actualizaciones de la petición
Compartir esta petición
Petición creada en 22 de julio de 2017